Skip to main content
ΕΛΛΑΔΑ
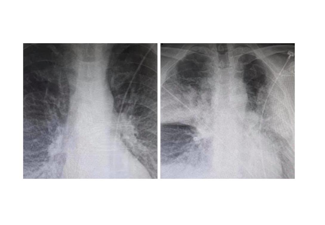
Παλιές οι ακτινογραφίες του "ασθενή με κορωνοϊό";
Ακτινογραφίες
 clock 20:20 | 24/09/2020
writer icon newsroom ekriti.gr

Του 2015 φαίνεται πως ήταν οι ακτινογραφίες που δόθηκαν στη δημοσιότητα από γιατρό του ΚΑΤ, υποστηρίζοντας ότι παρουσιάζουν την επιβάρυνση της υγείας ασθενή με κορωνοϊό μέσα σε μικρό χρονικό διάστημα.

 

 

 

google news icon

Ακολουθήστε το ekriti.gr στο Google News και μάθετε πρώτοι όλες τις ειδήσεις για την Κρήτη και όχι μόνο.

ΡΟΗ ΕΙΔΗΣΕΩΝ
Ράδιο Κρήτη © | 2013 -2026 ekriti.gr Όροι Χρήσης | Ταυτότητα Designed by Cloudevo, developed by Pixelthis