Skip to main content
ΓΥΝΑΙΚΑ
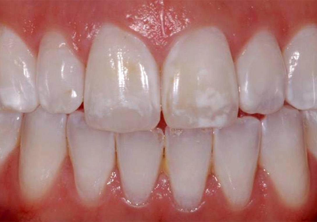
Λευκά σημάδια στα δόντια: Που οφείλονται και πως μπορείτε να απαλλαγείτε
leyka_simadia_sta_dontia.jpg
 clock 17:17 | 24/07/2018
writer icon newsroom ekriti.gr

Ένα όμορφο χαμόγελο ενισχύει την ομορφιά ενός προσώπου. Και τα ωραία δόντια που είναι λευκά και χωρίς κηλίδες είναι το βασικό “συστατικό” που θα κάνει το χαμόγελό σας όμορφο και ελκυστικό.
Αλλά αν έχετε αναπτύξει σημάδια ή πιο συγκεκριμένα λευκές κηλίδες στα δόντιασας, τότε σίγουρα το χαμόγελό σας δεν έχει την ίδια... αυτοπεποίθηση.
Υπάρχουν διάφοροι λόγοι εξαιτίας των οποίων ένα άτομο μπορεί να αναπτύξει λευκές κηλίδες και οι λόγοι αυτοί ποικίλλουν από άτομο σε άτομο.

  • Μερικές από τις κοινές αιτίες που ένα άτομο μπορεί να αναπτύξει λευκές κηλίδες στα δόντια είναι:

Φθορίωση: Είναι μια κατάσταση που βλάπτει το σμάλτο των δοντιών και προκαλεί λευκές κηλίδες πάνω τους. Αυτή η κατάσταση συμβαίνει λόγω της υπερβολικής κατανάλωσης φθορίου από τα παιδιά πριν από την πλήρη ανάπτυξη των δοντιών.
Υπερβολική έκκριση ασβεστίου: Το σώμα παράγει υπερβολικές ασβεστίου κατά τη διάρκεια της ανάπτυξης των δοντιών και αυτό το πλεονάζον ασβέστιο επηρεάζει την αδαμαντίνη και προκαλεί λευκές κηλίδες.
Απώλεια μετάλλων: Λευκές κηλίδες μπορούν επίσης να εμφανιστούν στα δόντια λόγω της απώλειας των μετάλλων στα δόντια, η οποία είναι γνωστή ως υποασβεστοποίηση (hypocalcification), ενώ τότε οι λευκές κηλίδες είναι μια πάθηση γνωστή ως υποπλασία.
Όξινα φρούτα και ποτά: Η υπερβολική κατανάλωση όξινων φρούτων και ποτών καταστρέφει το σμάλτο των δοντιών, επομένως, δημιουργεί λευκές κηλίδες.

  • Πώς θα απαλλαγείτε από τις λευκές κηλίδες στα δόντια σας

Οδοντόκρεμα με μαγειρική σόδα και ξίδι
Η χρήση μαγειρικής σόδας μαζί με το ξύδι βοηθά να αφαιρέσετε τις λευκές κηλίδες.

  • Θα χρειαστείτε:

Ξύδι - 1 κουταλάκι του γλυκού
Μαγειρική σόδα - 2 κ.γ.

  • Τι να κάνετε:

Αναμίξτε το ξύδι με τη μαγειρική σόδα για να σχηματίσετε μια λεία πάστα.
Βουρτσίστε τα δόντια σας με αυτή την πάστα για 2 έως 3 λεπτά.
Ξεπλύνετε το στόμα σας με νερό.
Επαναλάβετε δύο φορές την εβδομάδα μέχρι να αφαιρέσετε τις λευκές κηλίδες εντελώς.

Λεμόνι και αλάτι
Ο συνδυασμός αυτός βοηθάει επίσης να αφαιρέσετε τις λευκές κηλίδες, ενώ θα αποτρέψει την κακή αναπνοή και θα ενισχύσει τα ούλα.
Θα πρέπει να χρησιμοποιείτε θαλασσινό αλάτι διότι είναι γεμάτο με μεταλλικά στοιχεία, τα οποία είναι ωφέλιμα για τα δόντια και τα ούλα.

  • Θα χρειαστείτε:

Χυμό λεμονιού - 1 κουταλιά της σούπας
Θαλασσινό αλάτι - 1 κουταλιά της σούπας

  • Τι να κάνετε:

Αναμίξτε το χυμό λεμονιού και το αλάτι.
Εφαρμόστε το μείγμα στα δόντια σας.
Τρίψτε το στα δόντια σας για λίγα λεπτά.
Ξεπλύνετε το στόμα σας με νερό.
Επαναλάβετε τουλάχιστον μία φορά κάθε πρωί για να απαλλαγείτε από τις λευκές κηλίδες.

Φλούδα μπανάνας
Γεμάτη με μέταλλα, όπως μαγνήσιο, μαγγάνιο και κάλιο, η φλούδα της μπανάνας απομακρύνει τις λευκές κηλίδες αποτελεσματικά. Λειτουργεί διεισδύοντας βαθιά μέσα στα δόντια.

  • Θα χρειαστείτε:

Ώριμη μπανάνα – 1 φλούδα

  • Τι να κάνετε:

Τρίψτε τη φλούδα πάνω στα δόντια σας για 2 λεπτά.
Αφήστε το για 15 λεπτά και στη συνέχεια βουρτσίστε τα με την κανονική σας οδοντόκρεμα.
Πλύνετε το στόμα σας με νερό.
Επαναλάβετε αυτή τη διαδικασία καθημερινά, μέχρι να δείτε ότι οι λευκές κηλίδες απομακρύνονται.

via

google news icon

Ακολουθήστε το ekriti.gr στο Google News και μάθετε πρώτοι όλες τις ειδήσεις για την Κρήτη και όχι μόνο.

ΡΟΗ ΕΙΔΗΣΕΩΝ
Ράδιο Κρήτη © | 2013 -2026 ekriti.gr Όροι Χρήσης | Ταυτότητα Designed by Cloudevo, developed by Pixelthis