Skip to main content
ΠΕΡΙΕΡΓΑ - ΠΑΡΑΞΕΝΑ
Ασθενής έφυγε από το νοσοκομείο με μασέλα κολλημένη στο λαιμό του
falseteeth.jpg
 clock 19:55 | 14/08/2019
writer icon newsroom ekriti.gr

Μία… μασέλα κολλημένη στον λαιμό του είχε επί οκτώ ημέρες ένας 72χρονος, μετά από χειρουργική επέμβαση.

Ο άνδρας από την Αγγλία, υποβλήθηκε σε χειρουργείο για την αφαίρεση ενός ακίνδυνου όγκου, αλλά οι γιατροί παρέλειψαν να του βγάλουν τη μασέλα πριν την επέμβαση.
Έξι μέρες μετά, επέστρεψε στο νοσοκομείο, διαμαρτυρόμενος για αίμα στο στόμα του και δυσκολία στην αναπνοή και την κατάποση.

Τελικά, οι ειδικοί έκριναν πως χρειάζεται ακόμη μία χειρουργική επέμβαση για να λυθεί το πρόβλημα.

Ωστόσο, για άλλη μία φορά οι χειρουργοί υπέπεσαν σε λάθος, καθώς δεν κατάφεραν να εντοπίσουν τη μασέλα και του έδωσαν αγωγή με στοματικό διάλυμα, αντιβίωση και στεροειδή.

Δύο μέρες μετά, όμως, τα συμπτώματα δεν είχαν υποχωρήσει. Αντιθέτως, επιδεινώθηκαν και ο 72χρονος εισήχθη στο νοσοκομείο με την υποψία της πνευμονίας από αναρρόφηση (σ.σ. συμβαίνει όταν το περιεχόμενου του στομάχου, τροφή ή υγρά, εισέρχεται στους πνεύμονες).

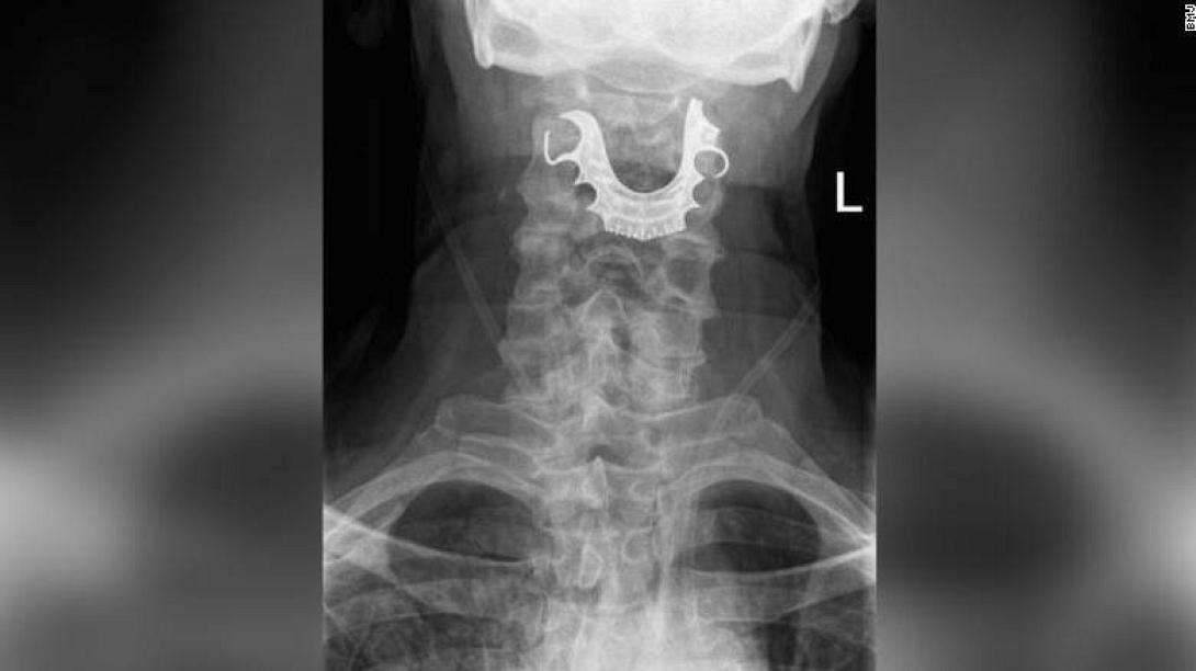
Τελικά, μέσω ακτινογραφιών οι γιατροί εντόπισαν ένα ημικυκλικό αντικείμενο στις φωνητικές του χορδές, το οποίο προκαλούσε τη δημιουργία εσωτερικών φουσκαλών και πρήξιμο.

google news icon

Ακολουθήστε το ekriti.gr στο Google News και μάθετε πρώτοι όλες τις ειδήσεις για την Κρήτη και όχι μόνο.

ΡΟΗ ΕΙΔΗΣΕΩΝ
Ράδιο Κρήτη © | 2013 -2026 ekriti.gr Όροι Χρήσης | Ταυτότητα Designed by Cloudevo, developed by Pixelthis