Skip to main content
ΠΕΡΙΕΡΓΑ - ΠΑΡΑΞΕΝΑ
Η απίθανη ιστορία του μωρού που «γεννήθηκε» δύο φορές!
μωρό
 clock 11:24 | 10/01/2023
writer icon newsroom ekriti.gr

Η Margaret Boemer, 16 εβδομάδων έγκυος στο τρίτο της παιδί, πήγε για έναν υπέρηχο ρουτίνας. Σύντομα διαπίστωσε πως (και αυτή) η εγκυμοσύνη της κάθε άλλο παρά ομαλή θα ήταν.

«Είδαν κάτι στον υπέρηχο. Ο γιατρός ήρθε και μας είπε πως ήταν κάτι εξαιρετικά σοβαρό, πως είχε ιεροκοκκυγικό τεράτωμα», έλεγε αργότερα η Boemer από την πόλη Πλάνο του Τέξας: «Ήταν σοκαριστικό και τρομακτικό γιατί δεν είχαμε ιδέα τι σήμαινε αυτός ο μακρύς, ιατρικός όρος ούτε ποια θα μπορούσε να είναι η θεραπεία του».

Image
Margaret Boemer,

 

Οι γιατροί διαπίστωσαν πως στο έμβρυο είχε αναπτυχθεί ιεροκοκκυγικό τεράτωμα. Η μία επιλογή ήταν η έκτρωση. Η άλλη, το χειρουργείο. Κι ενώ η συντριπτική πλειονότητα των γιατρών συνέστηναν στην εγκυμονούσα να «ρίξει» το παιδί, εκείνη επέλεξε το δύσκολο δρόμο, εκείνον με το μεγαλύτερο πόνο και ρίσκο, που της πρότειναν οι γιατροί της εμβρυϊκής κλινικής του Νοσοκομείου Παίδων του Τέξας. Για την Boemer δεν ήταν η πρώτη φορά μιας ταραγμένης εγκυμοσύνης. Η ίδια κυοφορούσε δίδυμα όταν έχασε ένα από τα μωρά, πριν το δεύτερο τρίμηνο της κύησης.

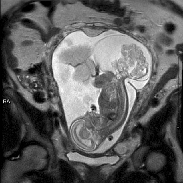
Το ιεροκοκκυγικό τεράτωμα είναι ένας όγκος που μεγαλώνει στην περιοχή του ιερού οστού και του κόκκυγα – ένα σπάνιο σενάριο που παρουσιάζεται σε 1 στις 35.000 γεννήσεις. Στο σύνδρομο αυτό ο αναπτυσσόμενος όγκος «κλέβει» από την αιματική ροή τόσο ώστε σταδιακά προκαλείται καρδιακή ανεπάρκεια – και, άρα, εμβρυϊκός θάνατος.

Image
 ιεροκοκκυγικό τεράτωμα

 

Ο Κας εξηγεί πως ο όγκος προσπαθεί να μεγαλώσει, «τρεφόμενος» από το αίμα του μωρού. Ωστόσο, προσπαθώντας και το έμβρυο να μεγαλώσει, αναπτύσσεται ένας ορμέμφυτος «ανταγωνισμός» για ζωή μέσα στη μήτρα της μητέρας: «Σε κάποιες περιπτώσεις, ο όγκος κερδίζει. Η καρδιά δεν αντέχει να τροφοδοτεί τον όγκο, καταλήγει σε ανεπάρκεια και το μωρό πεθαίνει».

(Άλλο ένα) ιατρικό θαύμα

Image
Margaret Boemer,

 

Η Boemer ήταν 23 εβδομάδων και 5 ημερών όταν εισήχθη εσπευσμένα στο χειρουργείο. Τη στιγμή εκείνη, ο όγκος ήταν λίγο μεγαλύτερος σε μέγεθος από το ίδιο το έμβρυο.

Ο δρ.Κας και ο δρ. Ολουγίνκα Ολουτόγιε (Oluyinka Olutoye) με την ομάδας τους χειρουργούσαν επί πέντε ώρες. «Η επέμβαση στο έμβρυο πήγε πολύ καλά και γρήγορα. Διήρκησε περίπου 20 λεπτά», λέει ο δρ. Κας που εξηγεί πως ο περισσότερος χρόνος επενδύθηκε στο να ανοίξουν την μήτρα, την οποία περιέγραψε ως «έναν μεγάλο μυ επενδεδυμένο με μεμβράνες».

Το χειρουργείο πήγε καλά και η κύηση συνεχίστηκε σχεδόν μέχρι τέλους. Δώδεκα εβδομάδες μετά, η μικρή Lynlee Hope βγήκε, για δεύτερη φορά κυριολεκτικά, από την κοιλιά της μαμάς της με καισαρική τομή.

Image
Margaret Boemer,

 

Ζύγιζε 2.400 κιλά και πήρε τα ονόματα των γιαγιάδων της.

Η περιπέτεια, παρόλα αυτά, δεν είχε τελειώσει. Οι γιατροί, αφού αξιολόγησαν την κατάσταση του νεογνού, το έβαλαν ξανά στο χειρουργείο για την αφαίρεση του υπόλοιπου μέρους του όγκου –  τον οποίο οι χειρουργοί δεν ήταν σε θέση να απομακρύνουν στην πρώτη επέμβαση και που είχε αρχίσει να μεγαλώνει ξανά…

Παρότι τα νεογνά δίνουν την πρώτη σοβαρή μάχη για τη ζωή τους κόντρα στις πιθανότητες, η συναισθηματική περιπέτεια των μαμάδων είναι πολύ πιο δραματική και επώδυνη, αποκαλύπτει ο Κας.

Κάπως έτσι βίωσε αυτό το «ταξίδι» και η Margaret Boemer.

Image
Margaret Boemer,

 

«Ήταν οδυνηρό», παραδέχεται η ίδια. Όμως, βλέποντας τη νεογέννητη κόρη της να χαμογελά δίπλα στις αδερφές της καταλήγει συγκινημένη πως «άξιζε κάθε πόνο».

ΔΙΑΒΑΣΤΕ ΕΠΙΣΗΣ

Το θαύμα της ζωής: Μωράκι που του έδιναν μόλις μια ημέρα ζωής, έσβησε το πρώτο του κεράκι!

Ο φωτογράφος που απαθανάτισε το «θυμωμένο» μωρό το συναντά ξανά 2 χρόνια μετά

Πώς θα σταματήσει να κλαίει το μωρό: Βρέθηκε η επιστημονική «συνταγή»

google news icon

Ακολουθήστε το ekriti.gr στο Google News και μάθετε πρώτοι όλες τις ειδήσεις για την Κρήτη και όχι μόνο.

ΡΟΗ ΕΙΔΗΣΕΩΝ
Ράδιο Κρήτη © | 2013 -2026 ekriti.gr Όροι Χρήσης | Ταυτότητα Designed by Cloudevo, developed by Pixelthis