Skip to main content
ΥΓΕΙΑ
Αλέξανδρος Νικολαΐδης: Τι είναι το καρκίνωμα NUT, το σπάνιο είδος καρκίνου που τον νίκησε
ΝΙΚΟΛΑΙΔΗΣ
 clock 13:51 | 14/10/2022
writer icon newsroom ekriti.gr

Με μια σπάνια μορφή καρκίνου πάλευε για δύο χρόνια ο σπουδαίος ολυμπιονίκης Αλέξανδρος Νικολαΐδης, που έφυγε απο τη ζωή σε ηλικία 42 ετών.

Σε ανάρτησή του στο Facebook έγραψε σχετικά με την ανίατη ασθένειά του:

«Δύο χρόνια, βασανίστηκα κι εγώ με τον καρκίνο. Με έναν τόσο σπάνιο τύπο καρκίνου, το καρκίνωμα nut, που αυτή τη στιγμή εννέα στους δέκα Έλληνες γιατρούς που το διαβάζουν, το ακούν για πρώτη φορά και θα σπεύσουν να το ψάξουν. Ευτυχώς ο δικός μου γιατρός, ο υπέροχος Γιάννης Μπουκοβίνας που με πήρε από το χέρι στο πιο δύσκολο ταξίδι της ζωής μου, τον γνώριζε αυτόν τον σπάνιο τύπο και έκανε τα πάντα για να με σώσει ή να μου χαρίσει λίγη παραπάνω ζωή. Κίνησε γη και ουρανό, να φέρει φάρμακα κυριολεκτικά από την άλλη άκρη της γης για να τα δοκιμάσω.

Αν είμαι εγώ ο πρώτος καταγεγραμμένος ασθενής με καρκίνωμα nut στην χώρα μας, ας γίνω η αφορμή για την ενημέρωση γιατρών, ασθενών, πάνω σε αυτόν τον τύπο καρκίνου που αν διαγνωσθεί εγκαίρως ίσως σωθούν ζωές.

Ας γίνω η αφορμή για να ενισχυθεί ουσιαστικά το εθνικό μας σύστημα υγείας που τόσο υποτιμήθηκε τα τελευταία χρόνια, όχι να περιμένουν ουρές για μια αξονική, για μια χημειοθεραπεία ή ένα χειρουργείο και να χάνεται πολύτιμος χρόνος, να σταματήσει ο χρονοβόρος δαίδαλος της γραφειοκρατίας και των νομικών κωλυμάτων του ΕΟΦ όταν πρέπει να εγκριθούν άμεσα δοκιμαστικά φάρμακα που μπορεί να σώσουν ζωές».

Τι είναι το καρκίνωμα NUT

Ενα σπάνιο είδος καρκίνου, επιθετικό και με μικρή πρόγνωση για επιβίωση, σύμφωνα με τα έως σήμερα γνωστά δεδομένα, είναι αυτό από το οποίο έχασε τη ζωή του σε ηλικία μόλις 43 ετών ο δις Ολυμπιονίκης του Τάε Κβον Ντο, Αλέξανδρος Νικολαΐδης.

Η σπανιότητα του καρκινώματος NUT το οποίο οι πολίτες στη χώρα μας άκουσαν σήμερα για πρώτη φορά, πιθανότατα και πολλοί γιατροί, είναι η αιτία λίγων πληροφοριών και λίγων στοιχείων, με την περίπτωση του Αλέξανδρου Νικολαΐδη να αποτελεί εφαλτήριο για ενημέρωση και ευαισθητοποίηση κατά τη διάγνωση.

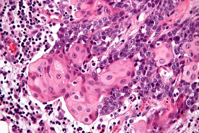
Το καρκίνωμα NUT, παλαιότερα γνωστό ως NUT-midline carcinoma (NMC), είναι μια σπάνια μορφή καρκίνου που μπορεί να σχηματιστεί οπουδήποτε στο σώμα, αλλά συχνά σχηματίζεται στο κεφάλι, το λαιμό ή τους πνεύμονες.

Είναι ένας αδιαφοροποίητος ή κακώς διαφοροποιημένος καρκίνος των πλακωδών κυττάρων, που σημαίνει ότι ο καρκίνος ξεκινά σε φυσιολογικά πλακώδη κύτταρα του σώματος. Τα πλακώδη είναι κύτταρα που αποτελούν το δέρμα και την επένδυση ορισμένων οργάνων, όπως οι πνεύμονες και το στομάχι.

Το καρκίνωμα NUT ορίζεται από μια συγκεκριμένη γενετική αλλαγή γνωστή ως ογκογονίδιο σύντηξης. Ένα ογκογονίδιο σύντηξης δημιουργείται με την ένωση τμημάτων δύο διαφορετικών γονιδίων μεταξύ τους. Στην περίπτωση του καρκινώματος NUT, το γονίδιο NUT συνδέεται με ένα άλλο γονίδιο (συνήθως BRD4, αλλά σε ορισμένες περιπτώσεις BRD3, NSD3 ή άλλα γονίδια). Αυτή η σύντηξη γονιδίων προκαλεί το σχηματισμό μη φυσιολογικά ενεργοποιημένων πρωτεϊνών NUT που οδηγούν σε ανώμαλη ανάπτυξη πλακωδών κυττάρων.

Δεν είναι γνωστό τι προκαλεί το σχηματισμό του ογκογονιδίου σύντηξης NUT. Προς το παρόν, σύμφωνα με όσα αναφέρονται σε ξένους οργανισμούς για τον καρκίνο, δεν φαίνεται να συνδέεται με περιβαλλοντικές εκθέσεις, όπως μόλυνση ή επαφή με χημική ουσία ή τοξίνη. Το καρκίνωμα NUT επίσης δεν είναι κληρονομικό, που σημαίνει ότι δεν περνά μέσα από την οικογένεια. Η ανάπτυξη του καρκινώματος NUT φαίνεται να είναι ένα τυχαίο, απρόκλητο γεγονός.

Image
ΚΑΡΚΙΝΩΜΑ NUT

Συμπτώματα και επιβίωση

Ο σπάνιος αυτός τύπος καρκίνου συχνά δεν έχει συμπτώματα στα αρχικά του στάδια. Καθώς ο καρκίνος μεγαλώνει, μπορεί να εμφανιστούν συμπτώματα όπως κόπωση και απώλεια βάρους. Ανάλογα με τη θέση του όγκου ή όγκων εντός του σώματος, μπορεί να εμφανιστούν και άλλα συμπτώματα. Αυτά περιλαμβάνουν ένα ανώδυνο εξόγκωμα, πόνο, επίμονο βήχα, δύσπνοια και ρινική συμφόρηση ή απόφραξη.

Το καρκίνωμα NUT συχνά αντιστέκεται στη θεραπεία. Ο διάμεσος χρόνος επιβίωσης από τη διάγνωση είναι περίπου 6 έως 7 μήνες. Αυτό σημαίνει ότι περίπου οι μισοί ασθενείς ζουν περισσότερο από 6 έως 7 μήνες και οι μισοί λιγότερο. Το πόσο προχωρημένη είναι η ασθένεια όταν διαγνωστεί, οι γενετικές μεταλλάξεις μέσα στον όγκο και η εντόπιση της νόσου στο σώμα παίζουν σημαντικό ρόλο στην πρόγνωση. Νέες θεραπείες που στοχεύουν στα μοριακά υπόβαθρα του καρκινώματος NUT δοκιμάζονται σε κλινικές δοκιμές.

Πρόκειται για ένα τόσο σπάνιο είδος καρκίνου που δεν υπάρχουν δεδομένα σε σχέση με πόσοι άνθρωποι πάσχουν από αυτό. Ο Αλέξανδρος Νικολαΐδης πιθανόν είναι ο πρώτος ασθενής στην Ελλάδα, σύμφωνα με αυτά που αναφέρει στη συγκλονιστική ανάρτησή του που από το πρωί σήμερα έχει συγκινήσει το πανελλήνιο.

ΔΙΑΒΑΣΤΕ ΑΚΟΜΗ

ΗΠΑ: Μακελειό με νεκρούς στη Βόρεια Καρολίνα (βίντεο)

Στο Ναυτικό Νοσοκομείο Κρήτης ο επικελευστής - Τραυματίστηκε με όπλο

Κρήτη: Περιοχές μπαίνουν στις αντικειμενικές αξίες και αποκτούν φόρους «φωτιά»

 

google news icon

Ακολουθήστε το ekriti.gr στο Google News και μάθετε πρώτοι όλες τις ειδήσεις για την Κρήτη και όχι μόνο.

ΡΟΗ ΕΙΔΗΣΕΩΝ
Ράδιο Κρήτη © | 2013 -2026 ekriti.gr Όροι Χρήσης | Ταυτότητα Designed by Cloudevo, developed by Pixelthis