Skip to main content
ΥΓΕΙΑ
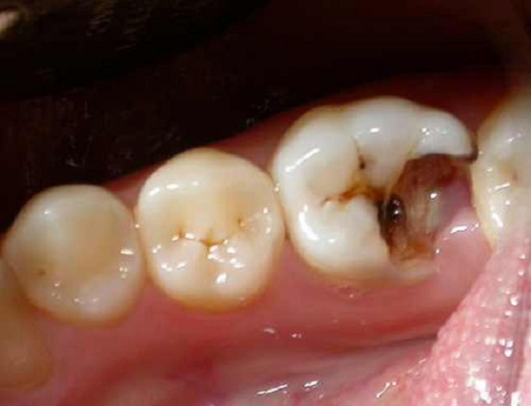
Χαλασμένα δόντια; Ποιους κινδύνους κρύβουν για την υγεία
δοντια
 clock 21:34 | 30/03/2017
writer icon newsroom ekriti.gr

Η φροντίδα των δοντιών δεν είναι πολυτέλεια ούτε ανάγκη, αλλά απαραίτητη για την προστασία της υγείας…

Πολλές μελέτες έχουν συσχετίσει την στοματική υγιεινή με πολλά και σοβαρά προβλήματα υγείας, τα οποία μπορεί να απειλήσουν μέχρι και τη ζωή.

Η στοματική κοιλότητα αποτελεί εστία πολλών παθογόνων μικροοργανισμών, οι οποίοι όταν δεν αντιμετωπίζονται με την κατάλληλη οδοντική υγιεινή και οδοντιατρική φροντίδα μπορεί να εξαπλωθούν σε απομακρυσμένα σημεία του σώματος. Αυτό είναι πιθανότερο να συμβεί σε ασθενείς με εξασθενημένο ανοσοποιητικό σύστημα εξαιτίας, για παράδειγμα, καρκίνου, ρευματοειδούς αρθρίτιδας, διαβήτη ή μακροχρόνιας θεραπείας με κορτικοστεροειδή.

«Μελέτες έχουν δείξει ότι στους ασθενείς αυτούς η περιοδοντίτιδα μπορεί να συνδέεται με προβλήματα στην καρδιά (π.χ. ενδοκαρδίτιδα, οξεία μυοκαρδίτιδα), στον εγκέφαλο (αποστήματα), στο αναπνευστικό (π.χ. ιγμορίτιδα, λοιμώξεις και αποστήματα πευμόνων), ακόμα και με τα φλεγμονώδη νοσήματα του εντέρου (π.χ. νόσος του Crohn) και το έμφραγμα», λέει η Δρ. Κατερίνα Δούμα-Μιχελάκη, DDS, PhD, ειδική Ορθοδοντικός Παιδιών & Ενηλίκων. «Αν και αυτό δεν σημαίνει πως η περιοδοντίτιδα είναι η αιτία των παραπάνω νόσων, πιστεύεται ότι αποτελεί έναν σημαντικό επιβαρυντικό παράγοντα».

Πώς θα μπορούσαν τα μικρόβια του στόματος να απειλήσουν την υγεία του σώματος;

«Οι πιθανοί μηχανισμοί είναι τρεις: η “μετανάστευση” των μικροβίων από το στόμα, η πρόσθετη επιβάρυνση του ήδη εξαντλημένου ανοσοποιητικού και κάποιος μικροτραυματισμός του στόματος που επιτρέπει στα μικρόβια να μπουν στην κυκλοφορία του αίματος», απαντά η ειδικός.

Δυστυχώς όμως, «στη χώρα μας η οδοντιατρική πράξη έχει ευτελιστεί και υποτιμάται από κοινό και πολιτεία, με συνέπεια να επιδεινώνεται συνεχώς η στοματική υγεία του πληθυσμού», προσθέτει.

Σύμφωνα με πρόσφατα στοιχεία της Eurostat (Μάιος 2016), η χώρα μας είναι η τρίτη στην Ευρώπη σε ανεκπλήρωτες οδοντιατρικές ανάγκες.

Ειδικότερα, το 14,3% των Ελλήνων ηλικίας άνω των 16 ετών έχουν οδοντικά προβλήματα για τα οποία δεν έχουν κάνει θεραπεία. Μεγαλύτερο είναι το αντίστοιχο ποσοστό μόνο στην Πορτογαλία (18,8%) και στην Λετονία (21,2%), τη στιγμή που όλες οι άλλες χώρες έχουν ποσοστό ανεκπλήρωτων οδοντιατρικών αναγκών κάτω από 12% και ο ευρωπαϊκός μέσος όρος είναι 8%.

Η κύρια αιτία των ανεκπλήρωτων οδοντιατρικών αναγκών στην χώρα μας είναι τα προβλήματα με το σύστημα Υγείας (αφορούν το 12,9% του συγκεκριμένου πληθυσμού). Οι οικονομικοί λόγοι (ελάχιστα ταμεία καλύπτουν τις οδοντιατρικές και ορθοδοντικές εργασίες) είναι ο κύριος λόγος για το 12,3% του πληθυσμού και δεύτερος συχνότερος λόγος είναι οι μεγάλες λίστες αναμονής (0,4% του πληθυσμού) στους λιγοστούς οδοντιάτρους των ασφαλιστικών ταμείων.

Από τις υπόλοιπες αιτίες των ανεκπλήρωτων οδοντιατρικών αναγκών, ξεχωρίζουν ο φόβος για τους οδοντιάτρους (0,8% του πληθυσμού) και η έλλειψη χρόνου (0,5% του πληθυσμού ηλικίας άνω των 16 ετών).

Σύμφωνα με άλλα στοιχεία, τα οποία είχε παρουσιάσει πριν από σχεδόν δύο χρόνια η Ελληνική Οδοντιατρική Ομοσπονδία (ΕΟΟ), σχεδόν τέσσερις στους δέκα μεσήλικες και ηλικιωμένοι έχουν απώλεια δοντιών την οποία αδυνατούν να διορθώσουν και έτσι αναγκάζονται να ζουν χωρίς δόντια – «με ό,τι αυτό συνεπάγεται για την ποιότητα της ζωής τους, τόσο σε επίπεδο διατροφής όσο και κοινωνικότητας, που είναι γνωστό ότι αποτελούν προϋποθέσεις καλής υγείας», λέει η Δρ. Δούμα-Μιχελάκη.

«Σε εποχές οικονομικής κρίσης πολλοί θεωρούν πολυτέλεια την επίσκεψη στον οδοντίατρο και στον ορθοδοντικό, και έτσι σταματούν εντελώς τους προληπτικούς ελέγχους και έρχονται να τους δούμε μόνο όταν το όποιο πρόβλημά τους φθάσει στο απροχώρητο», τονίζει η Δρ. Δούμεα-Μιχελάκη.

«Η πολιτεία από την πλευρά της αφήνει εκτός ασφαλιστικής κάλυψης σχεδόν όλη την οδοντιατρική και ορθοδοντική φροντίδα. Ωστόσο στις προηγμένες χώρες γίνεται ολοένα περισσότερο αντιληπτό ότι η στοματική υγεία είναι αλληλένδετη με την σωματική και ότι οι ορθοδοντικές θεραπείες δεν αποτελούν απλές αισθητικές παρεμβάσεις. Έτσι, σε πολλές χώρες αρχίζουν να θεσπίζονται κριτήρια για την ασφαλιστική κάλυψη επιλεγμένων περιστατικών, ενώ σε άλλες έχουν εφαρμοστεί εδώ και χρόνια».

http://medicalnews.gr

google news icon

Ακολουθήστε το ekriti.gr στο Google News και μάθετε πρώτοι όλες τις ειδήσεις για την Κρήτη και όχι μόνο.

ΡΟΗ ΕΙΔΗΣΕΩΝ
Ράδιο Κρήτη © | 2013 -2026 ekriti.gr Όροι Χρήσης | Ταυτότητα Designed by Cloudevo, developed by Pixelthis