Skip to main content
ΥΓΕΙΑ
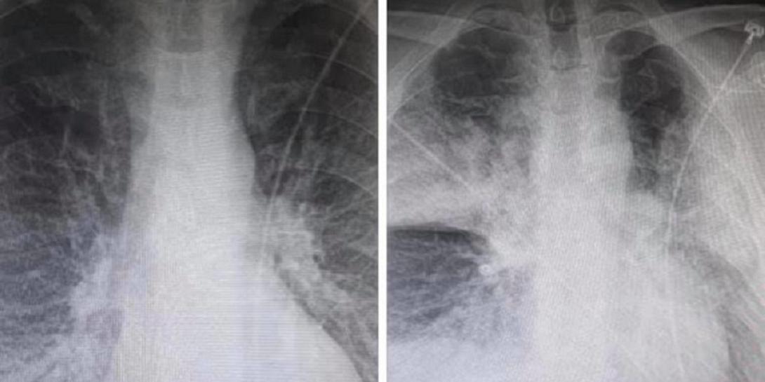
Κορωνοϊός: Aκτινογραφία δείχνει τη ραγδαία επιδείνωση στους πνεύμονες 38χρονου ασθενούς
κορωνοϊός - ακτινογραφία
 clock 11:26 | 23/09/2020
writer icon newsroom ekriti.gr

Σοκ προκαλούν οι δύο ακτινογραφίες που ανάρτησε στο Facebook ακτινολόγος από το ΚΑΤ, καθώς αποδεικνύουν την επίδραση που έχει ο κορωνοϊός στους πνεύμονες των ασθενών.

Όπως περιγράφει ο ακτινολόγος του ΚΑΤ Μάνος Καρράς οι δύο ακτινογραφίες ανήκουν σε έναν 38χρονο, ο οποίος είναι καπνιστής και διαβητικός. Σύμφωνα με τον ίδιο, οι ακτινογραφίες έχουν καταγραφεί με 7,5 ώρες διαφορά.

Η πρώτη είναι από την εισαγωγή στις 12 το μεσημέρι με 98% κορεσμό οξυγόνου και η δεύτερη, η επαναληπτική, πραγματοποιήθηκε στις 19:30 με τον ασθενή να είναι πλέον με μάσκα οξυγόνου.

Όπως εξηγεί σε σχόλιο στην ανάρτησή του ο κ. Καρράς, τα «σύννεφα» στη δεύτερη ακτινογραφία συνήθως σημαίνουν υγρό οίδημα φλεγμονή και «είναι κομμάτι του πνεύμονα που "δεν αναπνέει"».

«Δεν υπάρχει ιός» καταλήγει στην ανάρτησή του ο κ. Καρράς απαντώντας σε εκείνους που θεωρούν ότι ο νέος κορωνοϊός δεν είναι υπαρκτός.

 

 

 

google news icon

Ακολουθήστε το ekriti.gr στο Google News και μάθετε πρώτοι όλες τις ειδήσεις για την Κρήτη και όχι μόνο.

ΡΟΗ ΕΙΔΗΣΕΩΝ
Ράδιο Κρήτη © | 2013 -2026 ekriti.gr Όροι Χρήσης | Ταυτότητα Designed by Cloudevo, developed by Pixelthis