Είναι φυσικό τα δόντια ενός ατόμου να γίνονται λιγότερο λευκά καθώς μεγαλώνει σε ηλικία.
Η οδοντόβουρτσα είναι ένα από τα πιο σημαντικά αντικείμενα προσωπικής υγιεινής που χρησιμοποιούμε καθημερινά.
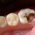
Ενώ το βούρτσισμα των δοντιών αποτελεί αναπόσπαστο κομμάτι της καθημερινής υγιεινής μας καθώς ενισχύει και διατηρεί την στ
Γενικά τα αντιβιοτικά είτε σκοτώνουν (βακτηριοκτόνα) είτε αναστέλλουν τη δράση...
Ενας δεινόσαυρος που έζησε πριν από 70 με 80 εκατομμύρια χρόνια στη Νότια Γαλλία είχε μια από τις πιο παράξενες οδοντοστοι
Είναι πολύ σημαντικό και ταυτόχρονα πολύ όμορφο, το να έχει κάποιος λευκά δόντια.
O καθημερινός καθαρισμός των δοντιών είναι απαραίτητος για ένα λευκό και αστραφτερό χαμόγελο το οποίο δεν είναι πάντα εύκο
Η υγεία των δοντιών των γυναικών μετά την ηλικία των 55 χρονών αποτελεί σε ένα βαθμό δείκτη για το προσδόκιμο της ζωής του
Η φροντίδα των δοντιών δεν είναι πολυτέλεια ούτε ανάγκη, αλλά απαραίτητη για την προστασία της υγείας…
Ένα λευκό και αστραφτερό χαμόγελο δεν είναι πάντα εύκολη υπόθεση και σίγουρα είναι απαραίτητος ο καθημερινός...
Τα υγιή δόντια δεν είναι αναγκαία μόνο για τη στοματική υγεία, αλλά έχουν ευεργετικές επιπτώσεις στην υγε